セット
- 12セット
- ハード 2/3 13日目
記録
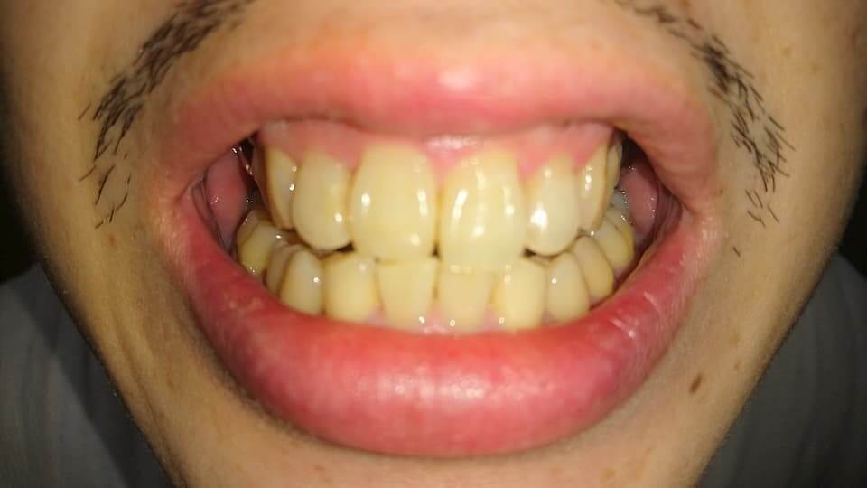
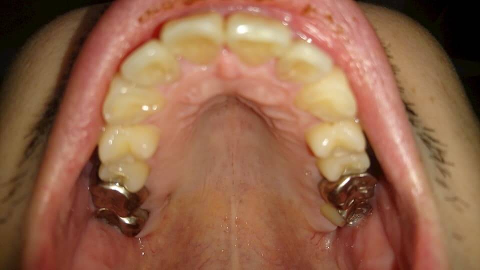
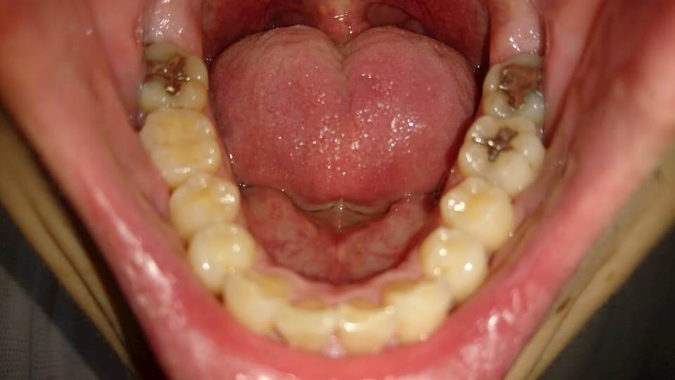
マウスピースを外して強めに噛みしめたり、歯をカチカチしても痛みは出なくなった。
第一小臼歯辺りはまだ軽い締め付け感が残っている。
もうすぐ2週間が終わるが、スムースに次のマウスピースに移行できそう。
歯の写真
その他
使用しているホワイトニング剤
コーヒーなどの着色も無くなり、歯が白くなるので定期的に使用しています。
歯磨きでは落とせない、歯の裏の見えないところの着色も無くなります。
https://amzn.to/2Y3f6cL
超音波洗浄器
マウスピースを洗浄するときに使用している超音波洗浄器はCD-7920という機種です。
Amazonで購入しました。
容量は850mlなので、小型のアクセサリー以外にも眼鏡や時計、ある程度の大きさのものを色々洗浄できます。
大は小を兼ねると言いますが、超音波洗浄器は大きなものの方が使い勝手が良いです。
https://amzn.to/2FwQByH









コメント