キレイライン矯正を始めてからの日々の変化を記録しています。
セット
- 13セット
- ハード 3/3 2日目
記録
昨日からものを噛むと変な響き方を感じる。
バネを噛んでいるような感じ。
内耳がこもったような、変な響き方。
新しいマウスピースの影響かどうかはわからない。
昨日より痛みはマシになったが、まだ全体的に締め付け感を感じる。
硬いものを噛むと痛みが出る。
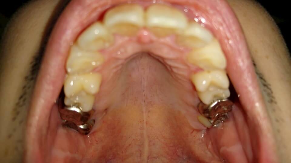
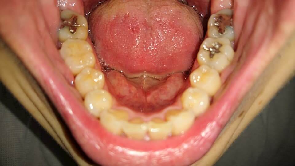
歯の写真
その他
使用しているホワイトニング剤
コーヒーなどの着色も無くなり、歯が白くなるので定期的に使用しています。
歯磨きでは落とせない、歯の裏の見えないところの着色も無くなります。
https://amzn.to/2Y3f6cL
超音波洗浄器
マウスピースを洗浄するときに使用している超音波洗浄器はCD-7920という機種です。
Amazonで購入しました。
容量は850mlなので、小型のアクセサリー以外にも眼鏡や時計、ある程度の大きさのものを色々洗浄できます。
大は小を兼ねると言いますが、超音波洗浄器は大きなものの方が使い勝手が良いです。
https://amzn.to/2FwQByH









コメント