キレイライン矯正を始めてからの日々の変化を記録しています。
セット
- 13セット
- ハード 3/3 18日目
記録
食事で物を噛むときの痛みが無くなった気がする。
残っているのは外した後の、後戻りの違和感くらい。
昨日の受診で歯ぎしりのような音が出るのは特に問題がないと言われた。
その内噛み合わせも変わり音が出なくなるのかもしれない。
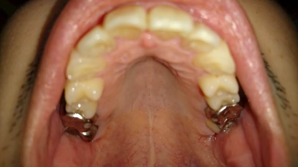
歯の写真
歯の動き
2019年9月2日と2020年11月26日(本日)の比較。
上で書いた稜線の話はこの画像の方がわかりやいと思う。
その他
使用しているホワイトニング剤
コーヒーなどの着色も無くなり、歯が白くなるので定期的に使用しています。
歯磨きでは落とせない、歯の裏の見えないところの着色も無くなります。
https://amzn.to/2Y3f6cL
超音波洗浄器
マウスピースを洗浄するときに使用している超音波洗浄器はCD-7920という機種です。
Amazonで購入しました。
容量は850mlなので、小型のアクセサリー以外にも眼鏡や時計、ある程度の大きさのものを色々洗浄できます。
大は小を兼ねると言いますが、超音波洗浄器は大きなものの方が使い勝手が良いです。
https://amzn.to/2FwQByH













コメント